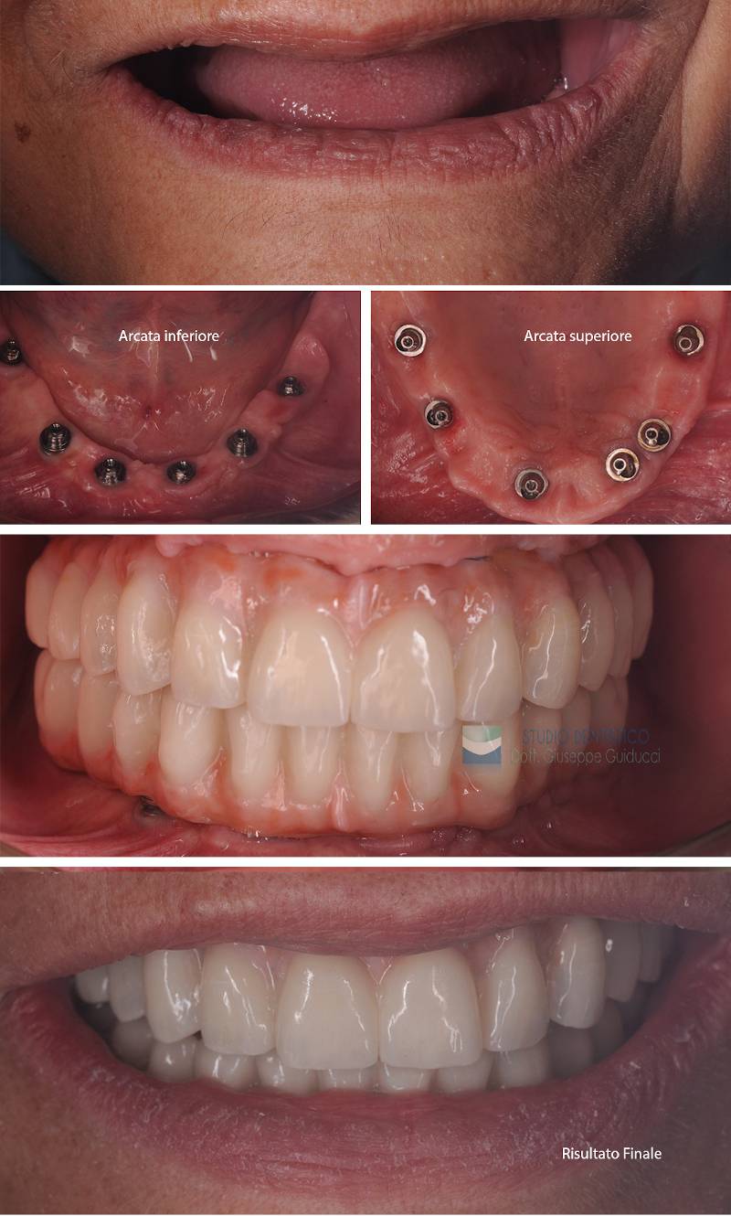
SBIANCAMENTO DENTI A PESCARA: SCOPRI L'EFFICACIA DEL TRATTAMENTO
Grazie all'utilizzo di tecnologie all'avanguardia, l'efficacia dello sbiancamento denti e dei trattamenti odontoiatrici a Pescara è garantita. Il dottor Guiducci e il suo team sono in grado di operare con successo anche in situazioni dentali più complesse e il risultato è sotto gli occhi di tutti! Sfoglia la gallery e richiedi anche tu un trattamento di estetica dentale per migliorare il tuo sorriso!











